

Los Drs. Rafael Decurcio y Paula Cardoso han creado el eBook de más de 500 páginas, que revolucionará tu forma de planificar y ejecutar carillas y lentes cerámicos.
Los Drs. Rafael Decurcio y Paula Cardoso han creado el eBook de más de 500 páginas, que revolucionará tu forma de planificar y ejecutar carillas y lentes cerámicos, dominando las técnicas y alcanzando resultados extraordinarios.


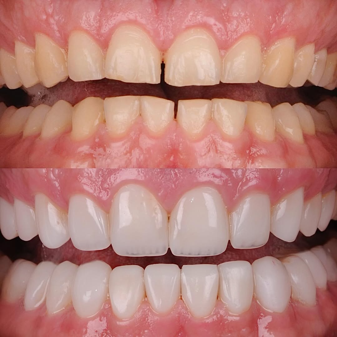
Visualiza cada paso de la preparación y cementación con fotografías clínicas de alta resolución.
Más de 500 páginas con casos reales, técnicas avanzadas y protocolos paso a paso.
Aprende a planificar cada caso para obtener resultados estéticos extraordinarios.
Desde la selección cromática hasta los sistemas cerámicos, domina cada fundamento.
Preparación, tallado, fragmentos cerámicos y restauraciones provisorias con excelencia.
Un material para volver siempre que lo necesites en tu práctica clínica diaria.
Fotografías clínicas de alta calidad y contenido paso a paso










+500 páginas organizadas en 5 secciones y 15 capítulos
SECCIÓN I. INICIAL
SECCIÓN II. PREVIA
SECCIÓN III. EJECUCIÓN
SECCIÓN IV. CEMENTACIÓN
SECCIÓN V. PRESERVACIÓN
“Este eBook transformó completamente mi enfoque clínico. Las fotografías y los protocolos paso a paso me dieron la seguridad que necesitaba para realizar carillas con excelencia. Lo consulto antes de cada caso.”
Dr. Alejandro Martínez
México

Odontólogo desde hace más de 25 años y profesor con más de 17 años de experiencia, reconocido en Brasil, América Latina y Europa. Es Magíster en Rehabilitación Oral y especialista en Periodoncia. Una verdadera referencia en Odontología Estética, combina ciencia, criterio y experiencia para transformar sonrisas con excelencia.

Cuenta con más de 20 años de experiencia en Odontología Estética y Dentística. Especialista en el área, profesora y autora del libro 'Carillas, Lentes de Contacto y Fragmentos Cerámicos'. Un protocolo clínico completo que combina ciencia, técnica y naturalidad en la rehabilitación con carillas cerámicas.


De: US$97,00
POR
US$29,00
¡QUIERO MI EBOOK AHORA!🔒 Compra 100% segura


Quizás estés inseguro...
Por eso te ofrecemos 7 DÍAS DE GARANTÍA INCONDICIONAL
Si por algún motivo no te gusta el producto, te devolveremos TODO TU DINERO
Ahora es más fácil tomar la decisión, ¿verdad?